
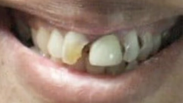
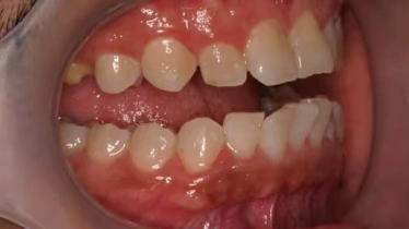
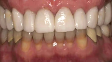
Before

After
Smile Makeover to Boost a Career Change in Houston Heights, TX
Our patient from Houston Heights was changing careers, and was entering into a profession where first appearances count. She was unsure as to whether she needed Invisalign or a smile makeover. She had previous TMJ issues that Dr. Pranita Kadam had addressed with splint therapy, and the patient's jaw joints were very comfortable when she wore the appliance. Dr. Pranita Kadam and the master laboratory technician were able to study her bite on models and with photos to come up with a plan that pleased the patient. She wanted a brighter, whiter teeth and a wide smile that she had never had. She wanted to exude confidence. With porcelain veneers on her upper and lower front teeth, Dr. Pranita Kadam was able to give her a gorgeous smile.

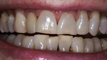
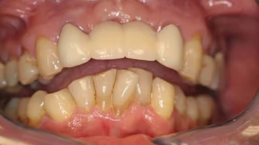
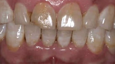
Before

After
Young Patient Who Wanted to Save Her Teeth in Houston Heights, TX
Our patient presented with a lot of cavities, and she was ashamed to smile. We had to do a complete workup which involved root canal therapy, redoing old, undesirable crowns, and new veneers to create a youthful smile and functional bite. She was involved with every aspect of her smile design, from shade and shaping of her new smile. Through this process, she was able to get back her longer, more natural teeth to give her a youthful appearance.

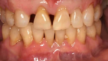
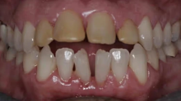
Before

After
Smile Makeover for a Dentist to Get a Perfect Smile and Bite in Houston Heights
This patient from Houston Heights is a dentist who chose us to redesign his smile after his porcelain crowns had chipped and his teeth had shifted. Dr. Pranita Kadam did a bite analysis first, and then the lab and Dr. Kadam were able to plan his new smile on the models and pictures. The procedures were performed over several appointments, and in the end, the patient felt that his bite felt perfect, and easy to maintain for a lifetime.

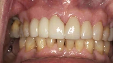
Before

After
Smile Makeover for Female in Her 60's in Houston Heights, TX
Over the years, our patients teeth from Houston Heights had become chipped, worn down, discolored, and she had lost the smile of her twenties. She came to us wanting to revamp her smile so she could have her beautiful smile back. She brought pictures of her smile from decades ago so that Dr. Pranita Kadam and her laboratory technician could understand what her desires were. Her bite was analyzed using pictures the Tekscan, and models. Dr. Pranita Kadam believes in doing her homework on the models so all her smile design patients leave with an outstanding smile in their temporaries, and then the final veneers, and crowns. We were able to give the patient back the smile she loved again.

Before

After
Smile Makeover Before a Wedding in Houston Heights, TX
Our patient from Houston Heights wanted to enhance her smile before an important family event. Her front teeth had started to chip, and were darker than she liked. We started the planning process five months prior to the event so that we could ensure that she would have her new, rejuvenated smile with plenty of time to spare. A bite analysis was done with diagnostic models and pictures, then we made custom temporaries, and reassessed the shape and size of the teeth. Once she was happy, Dr. Pranita Kadam proceeded with the final restorations. She was ecstatic with the look and feel of her newly revamped smile, and she commented on how she felt younger and prettier.

Before

After
Smile Makeover and Dental Veneers for Houston Heights, TX Female
Patient from Houston Heights did not like the color or shape of her front teeth. She had old bondings placed on her teeth, but they had discolored and chipped to show spaces between her teeth. She wanted a natural, beautiful smile. Dr. Pranita Kadam with mounted study models, and photos, we were able to design a mockup for a custom smile, and she was able to decide about length and shape of her new smile while wearing her beautiful custom temporaries. She was so happy with her temporaries that she couldn't wait for her actual veneers.

Before

After
Sixty Year Old Male Gets New Bridge and Porcelain Veneers in Houston Heights, TX
Our patient from Houston Heights, TX never knew that the spaces between his front teeth could be closed. He had no idea of his possibilities. He had always wanted to have a smile without spaces because he felt that he was being judged by his smile. He had accepted the way his teeth looked, but he dreamt of a smile without spaces. Dr. Pranita Kadam and team at Houston Heights Dentistry invested the time to create a wax mock up of his smile, and then she was able to guide the experienced dental laboratory, in designing a digital smile design in which the final smile had no gaps. Our patient now has a smile that is symmetrical and balanced-- it is a smile that he is proud of, and his family says that he now smiles all the time.

Before

After
Instant Smile Makeover in Houston Heights, TX
My husband had always wanted straight teeth, but he always told me that he would not wear braces or a retainer. After meeting a great lab from Utah, which did amazing quality work, I decided to do my husband's "extreme makeover". He underwent a root canal on his anterior tooth in order to undergo his smile makeover. We did a "in- mouth"mockup based on the lab's diagnostic wax-up of his new veneers. This allowed him to check speech, and tooth length before we permanently placed crowns and veneers. Friends and family that did not know that he was having this done, asked him if he had a new haircut or what was different. His smile was so natural that it was difficult for people to notice it! That's what we wanted, a smile makeover that people cannot tell.

Before

After
Replaced Broken Front Maryland Bridge and Porcelain Veneers in Houston Heights, TX
When our patient from Houston Heights, TX had bridge that was broken, she was concerned that she would have a smile that would not look natural. We recommended that she veneer the other two teeth so that her front teeth could be even in size, color, and shape. We made custom temporaries, and Dr. Pranita Kadam shaped the length, and widths of the teeth with the patient's input. We made sure she was 100% comfortable with her temporaries before proceeding with the final restorations. Our Master Lab technician was able to use the temporaries as a template for the shape, and then he enhanced the subtleties in the porcelain so that her restorations would reflect the light like natural teeth. She was ecstatic with her new smile, and not afraid to smile.

Before

After
Porcelain Veneers to Change a Smile in Houston Heights, TX
For years, this patient from Houston Heights dreamt of a beautiful smile that fit her bubbly personality. As you can see she has a beautiful frame or lips for the smile, but her teeth were too short, and chipped. By lengthening her 4 front teeth, and making the shapes uniform and symmetrical, Dr. Pranita Kadam was able to give her a smile that fit her lips. The patient had whitened her other teeth prior to having the veneers done so Dr. Kadam from Houston Heights Dentistry
took pictures with different shades to enhance her whiter smile. Now, the patient cannot stop smiling!

Before

After
Male Gets Root Canal on Front Tooth in Houston Heights, TX to Fix Cracked Tooth
Our patient stated that he never wanted to see the dentist, and that he had neglected his teeth for years. When he first saw us, he had a broken front tooth, and swollen, bleeding gums. After spending some time with him, we were able to discuss his possibilities for treating the front tooth, and his overall dental health. He agreed that he needed to take better care of his teeth, and that he would like to improve his smile. We were able to do a bite analysis, and a mock-up design for him on stone models of his teeth to see what was possible. He chose to treat the one tooth which had always bothered him, and not do a full design, but he... More

Before

After
Houston Heights, TX Male Gets a Smile Makeover
When you are a celebrity, having an amazing smile and being ready for the camera is truly a job requirement! Although our patient from Houston Heights had a nice smile, he wanted to have a knockout smile. He wanted his teeth to be uniform in length and color, and he wanted a broader smile. By doing his bite analysis, a custom waxup on the diagnostic models, and photos, Dr. Pranita Kadam and team were able to communicate with our master lab technician to achieve the smile of our patient's dreams.

Before

After
Houston Heights Smile to Love!
This patient from Houston Heights came to our practice seeking a smile that fit her personality and face. Dr. Pranita Kadam was able to a analyze her smile using pictures, and models to determine where the patients teeth should be. A diagnostic wax-up was done to show the patient what her results could be. Dr. Pranita Kadam also checks the function of the teeth in this model to make sure that the best bite can be achieved for the patient. Function and esthetics are always hand in hand in her preparations for patients. The patient was aware of the long appointments and responsibilities she would have to achieve her new look, and she was excited and ready to begin! Her final smile did involve seeing a specialist to lengthen certain teeth to keep the bones and gums healthy.

Before

After
Houston Heights, TX Dental Patients Teeth Looks Marvelous After Smile Makeover
Our patient from Houston Heights presented to us with a condition known as a "reverse smile". This means that the back teeth were longer than the front teeth. Not only was this a functional issue, but he wanted to improve his smile and show his teeth when he smiled. He had lost his front teeth over 40 years ago so Dr. Pranita Kadam planned a new bridge with longer front teeth, and a bite that functioned well with his new smile line. Photos and study models were used to plan and orchestrate a beautiful end result. After we had completed his teeth, his wife told us that he now smiles all the time.

Before

After
Fixing a Smile With Gaps in Houston Heights, TX
Our patient did not have braces as a kid, but he always wanted a smile without gaps. He wanted to know what his possibilities were for closing the spaces. He thought about braces, but he did not want to invest two years of time. Another conservative option was to close the spaces between his front four teeth with veneers. He wanted to make sure that the teeth would not look too large or different from his other teeth. By communicating with the lab, through pictures, Dr. Pranita Kadam was able to help him achieve his goal within a few weeks with minimal tooth preparation.

Before

After
Patient in Houston Heights, TX Gets a Smile Makeover From Dr. Kadam
During the consultation visit, this patient from Houston Heights described how she was unhappy with the previous dental work that had been redone multiple times. As a result, she already had missing teeth replaced with implants and bridges that were unattractive and not appealing. We took all our diagnostic records, photos, and met with our team of specialists and our master laboratory technician to come up with a detailed and coordinated treatment strategy. Dr. Pranita Kadam of Houston Heights Dentistry
also wanted the patient's input and asked her to bring pictures of her "dream smile". The patient brought in a clipping of a famous individual's smile, and we knew our objective was to give her a celebrity smile that she could feel confident with.

Before

After
Patient in Their 60's Get Smile Makeover on Her Upper Teeth in Houston Heights, TX
Our patient from Houston Heights was embarrassed by her smile, and never felt that it could be improved. We were able to utilize mounted study models, and pictures to plan her new smile. Dr. Pranita Kadam not only gave her a smile that she could have confidence with, but we were able to give her a more functionally protected bite so that she would not chip her front teeth again.

Before

After
A Smile Makeover From a Cute Smile to a Confident Smile in Houston Heights, TX
Our patient from Houston Heights had always been called "cute". He was about to be promoted in his professional life, and he felt that his small teeth and the gaps between his teeth made him look younger than what he actually was. He wanted to close the spaces, and also broaden his smile to fit his happy and confident personality. We also looked at the whites of his eyes and decided that his teeth could be whiter. Dr. Pranita Kadam started with diagnostic models and we studied his bite, and analyzed his teeth shape, and size. We did a diagnostic waxup and a digital smile design with photos so that he could envision what he... More

Before

After
Correction of an Underbite Without Surgery in Houston Heights, TX
Our patient from Houston Heights came to us wanting to improve his bite and smile. He was unhappy with his underbite. He had seen several dentists, but none had started with a bite analysis to see what the possibilities could be without surgery. Once Dr. Pranita Kadam determined that his underbite was due to his bite being overclosed, we were able to correct his bite, and the appearance of his teeth by increasing his vertical bite. He has been stable and comfortable at this new position, and his wife loves his new smile.

Before

After
Being Able to Smile After Being Born Without Front Teeth in Houston Heights, TX
If you are born without your adult front teeth, you can imagine how difficult it can be to get a job, speak with confidence, and believe in your self-worth. This patient from Houston Heights was an adult and thought his only option was to wear removable partial dentures for the rest of his life. After being a patient of Dr. Pranita Kadam for a couple of years, he finally told her how he felt, and that he thought he had what he thought was the best for him. Dr. Pranita Kadam did his smile/bite analysis at no charge so he could see the possibilities. When he saw with pictures and the diagnostic wax-up what was possible, he decided that he would one day, have a smile that he could have confidence with! He was finally able to smile with confidence with his kids, and he felt self-worth .

Before

After
A Successful Smile Transformation in Houston Heights, TX
Our patient from Houston Heights had always been called "cute". He was about to be promoted in his professional life, and he felt that his small teeth and the gaps between his teeth made him look younger than what he actually was. He wanted to close the spaces, and also broaden his smile to fit his happy and confident personality. We also looked at the whites of his eyes and decided that his teeth could be whiter. Dr. Pranita Kadam started with diagnostic models and we studied his bite, and analyzed his teeth shape, and size. We did a diagnostic waxup and a digital smile design with photos so that he could envision what he... More

Before

After
A Smile Makeover to Boost a Business Man's Confidence in Houston Heights, TX
This busy businessman from Houston Heights wanted to be confident meeting with business prospects. After years of stress from owning his own business, he was clenching, not sleeping well, and although he had taken care of his teeth, he was not happy with his smile. Initially, Dr. Pranita Kadam was able to stabilize his clenching then we were able to design his smile that would functionally protect his bite. He wore his temporaries for several months to ensure that his joints were comfortable with his new bite, and then we fine tuned his bite for his permanently bonded veneers and crowns. He was so happy with his upper smile, that he came back a couple of years later for veneers on his lower front teeth!

Before

After
30 Year Old Patient Gets Porcelain Veneers in Houston Heights, TX
Although everyone thought our patient from Houston Heights was pretty, she never liked her smile. The gaps between her front teeth remained even after orthodontics. This made her self-conscious about her smile throughout her teenage and college years. She also felt that her front teeth were too small, and she wanted to change the appearance. It was important to her that the end result was natural, and that no one would know that she had cosmetic dentistry done. Dr. Pranita Kadam was able to show her with study models and pictures that she could veneer her front for teeth to give her the natural smile that she dreamnt of.
